+918048126570
Currently it only shows your basic business info. Start adding relevant business details such as description, images and products or services to gain your customers attention by using Boost 360 android app / iOS App / web portal.

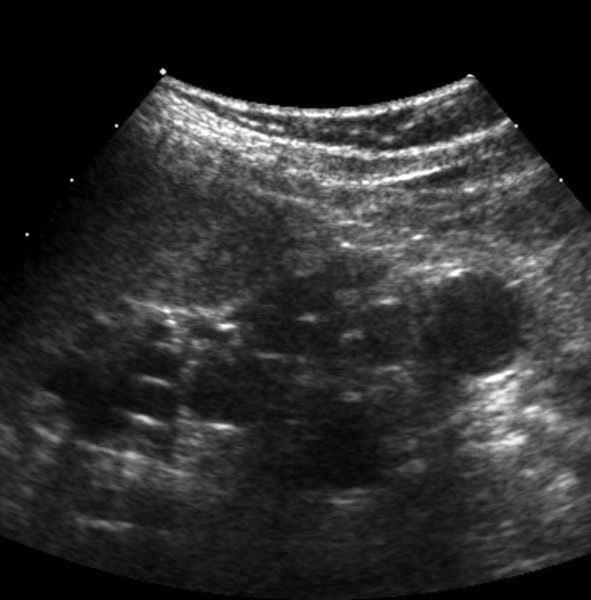
Multicystic dysplastic kidney (MCDK) is a congenital condition where the kidney does not develop normally in the womb and instead forms multiple cysts. Here is an overview of the diagnosis process for MCDK: Prenatal Ultrasound: - First Indication: MCDK is often first suspected during a routine prenatal ultrasound. The ultrasound may show a kidney that is enlarged and contains multiple cysts of varying sizes. Postnatal Ultrasound: - Confirmation: After birth, an ultrasound of the kidneys is typically performed to confirm the diagnosis. The affected kidney will show multiple cysts with little or no normal kidney tissue. 3Differential Diagnosis: - Rule Out Other Conditions: The ultrasound helps differentiate MCDK from other conditions that can cause cystic kidneys, such as hydronephrosis or polycystic kidney disease. Additional Imaging: - Voiding Cystourethrogram (VCUG): This may be performed to check for vesicoureteral reflux (VUR), a condition often associated with MCDK. - Magnetic Resonance Imaging (MRI) or CT Scan: These imaging techniques are less commonly used but may be employed in complex cases to provide detailed images. Renal Function Tests: - Assessing Function: Blood and urine tests may be conducted to assess the function of the other, typically normal, kidney. The overall kidney function is usually preserved if the other kidney is healthy. Genetic Testing: - Investigating Genetic Causes: In some cases, genetic testing may be done to rule out syndromic causes or associated genetic conditions. Follow-Up and Monitoring: - Regular Monitoring: Children with MCDK are usually monitored with periodic ultrasounds to track the size and appearance of the cystic kidney and to ensure the other kidney remains healthy. Diagnosis and follow-up care involve a multidisciplinary approach, including pediatricians, pediatric nephrologists, and urologists, to ensure comprehensive management and monitoring of the condition. Urology Related Doctor In Indore | Kidney Stone Related problems | Urinary Tract Infections (UTIs) Treatment | Urinary Incontinence | Enlarged Prostate (Benign Prostatic Hyperplasia, BPH) Treatment in Indore | Prostate Cancer Doctor in Indore| Bladder Cancer Doctor in Indore| Erectile Dysfunction (ED) Treatment In Indore | Male Infertility Doctor in Indore| Top 10 Urologist in Indore | Best urologist| Urologist near me